第二医院重症医学科三病区采用俯卧位通气技术成功救治两例老年急性呼吸窘迫综合征患者
稿件来源:第二医院 发布时间:2022-09-28 点击次数:
近日,我校第二医院重症医学科三病区针对两例老年急性呼吸窘迫综合征(ARDS)患者,采用俯卧位通气技术开展救治,取得良好效果。
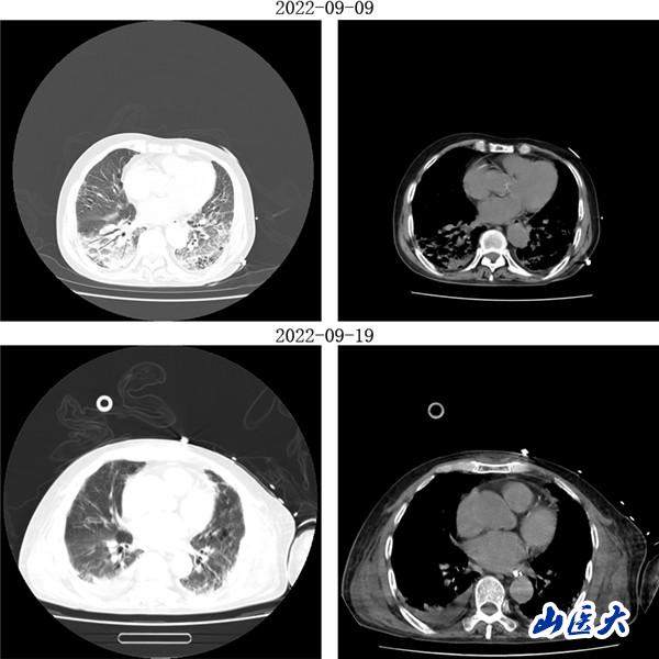
两名患者均为老年病患,其中63岁的一位女性,为肥胖患者(BMI=29)且患有2型糖尿病(病程10年以上,平素血糖控制差,波动于15-20mmol/L),在全麻下行腰椎椎管狭窄手术,术中及术后出现了严重的低氧血症(氧合指数不足90mmHg)合并新发急性广泛前壁心肌梗塞,带着气管插管转入ICU。另一名患者是一位从外地转来的75岁的男性患者,因摔伤导致左侧股骨颈骨折,平素肺部基础差,诊断为慢性阻塞性肺疾病(COPD),存在散发肺大疱。在就诊期间,患者出现肺部痰多且粘稠,指脉氧饱和度差(SpO2<85%)转入ICU治疗。之后,患者肺部情况继续加重,并出现重度休克表现,给予气管插管接呼吸机辅助治疗,行胸部CT可见双肺感染重,间质为主,吸氧浓度需求100%,氧合指数最低低至102mmHg,全身重度水肿。
重症医学科三病区张文凯主任团队深入分析了两位患者的病情。考虑到两名老年患者均已出现急性呼吸窘迫综合征,决定采用俯卧位通气技术为他们治疗。在张文凯主任的指导下,侯林义主治医师带领张承、孙洁住院医师对女性患者经俯卧位通气治疗,92小时后复查胸部CT,双肺明显好转,氧合指数由90上升至300mmHg以上,吸氧浓度由100%降至35%,ARDS明显改善;对男性患者,采用联合持续性血液滤过(CRRT)治疗方案,经俯卧位通气治疗66小时后复查胸部CT,显示明显改善,同时氧合指数由102上升至360mmHg左右,吸氧浓度需求下降至40%,全身水肿情况也明显减退。
(女性患者治疗前后胸部CT对比)
(男性患者治疗前后胸部CT对比)
俯卧位通气技术是患者在俯卧位进行的机械通气,是一种治疗急性呼吸窘迫综合征的辅助措施,其机制是利用重力作用,增加前胸部的血流量和背部的通气量,改善气体交换。随着全球新型冠状病毒肺炎(COVID-19)的大流行,俯卧位通气技术挽救了许多重度新冠肺炎患者,在新冠肺炎救治过程中发挥了重要的作用。该技术对医护人员的技能、开始时机的把握、时间及体位均有较高要求,需要具有丰富临床经验和高度责任心的医护人员密切配合和监测护理。
近年来,重症医学科三病区运用俯卧位通气技术成功救治多名出现急性呼吸窘迫综合征的危重症患者,均取得了良好效果,为救治危重、复杂病人奠定了更加坚实的呼吸支持基础。
(图文/侯林义 郭琳)